Nuestros casos
Tratamientos y soluciones de ortodoncia en Palma de Mallorca
En Tomás Sastre, estamos especializados en brindar soluciones de ortodoncia a niños y adultos en Palma de Mallorca.
Esta es una breve muestra de algunos de nuestros casos de éxito con nuestros pacientes.
Casos de Niños

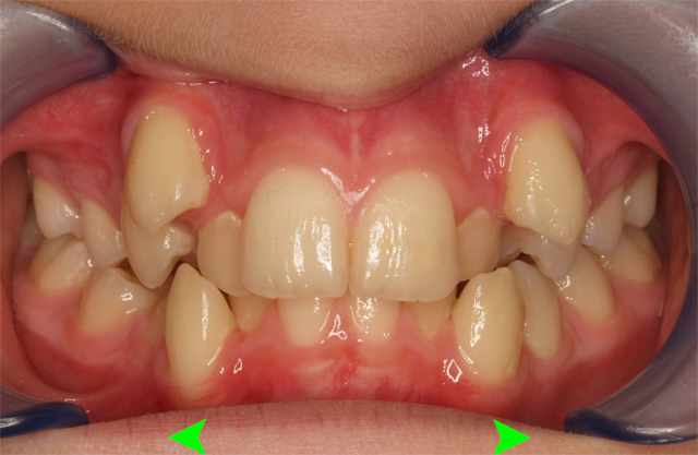
10 años

Tratamiento finalizado
Antes del tratamiento
10 Años
13 años
Antes del tratamiento
8 Años
12 años
8 años
Tratamiento finalizado
Antes del tratamiento
9 Años
13 años
Antes del tratamiento
8 Años
15 años
9 años
Tratamiento finalizado
8 años
Tratamiento finalizado
13 años
Tratamiento finalizado
Casos de Adultos
18 años
Tratamiento finalizado
Antes del tratamiento
18 Años
20 años
Antes del tratamiento
27 Años
29 años
27 años
Tratamiento finalizado
Antes del tratamiento
27 Años
31 años
Antes del tratamiento
17 Años
20 años
27 años
Tratamiento finalizado
17 años
Tratamiento finalizado
60 años
Tratamiento finalizado
Pide cita con nuestro equipo
Te atiende el equipo de profesionales de Ziving Ortodoncia Palma de Mallorca.
Te asesoramos en cualquiera de tus necesidades.
Preguntas Frecuentes Ortodoncia en Palma de Mallorca
¿A qué edad se recomienda la ortodoncia en adultos?
Recomendamos la ortodoncia en adultos de cualquier edad. La salud dental y la estética son aspectos que pueden mejorarse en cualquier momento de la vida. No hay límite de edad para buscar una sonrisa más saludable y atractiva.
¿Cuánto tiempo dura el tratamiento de ortodoncia en adultos?
La duración del tratamiento de ortodoncia en adultos es variable y depende de la complejidad del caso. En términos generales, los tratamientos suelen tomar entre 18 y 24 meses. Sin embargo, cada paciente es único, y durante tu consulta, evaluaremos tu caso específico y proporcionaremos una estimación más precisa.
¿Los tratamientos de ortodoncia para adultos son dolorosos?
Los avances tecnológicos en ortodoncia han mejorado significativamente la comodidad de los tratamientos. Aunque es posible experimentar molestias temporales, estas son generalmente manejables y se consideran parte normal del proceso de ajuste. Los beneficios a largo plazo superan cualquier molestia temporal, contribuyendo a una sonrisa mejor alineada y saludable.
¿Cuáles son los beneficios a largo plazo de la ortodoncia en adultos?
La ortodoncia en adultos no solo mejora la estética, sino que también previene problemas bucales a largo plazo, como enfermedades de las encías y pérdida dental prematura.
¿Es posible combinar la ortodoncia con otros tratamientos dentales?
Sí, la ortodoncia se puede combinar con otros tratamientos dentales, como blanqueamiento dental o restauraciones. Durante la consulta, discutiremos las opciones personalizadas según tus necesidades.
¿La ortodoncia afectará mi estilo de vida diario?
La ortodoncia moderna, como Invisalign, minimiza las interrupciones en el estilo de vida. Los alineadores removibles permiten comer sin restricciones y mantener una rutina de cuidado oral normal.
¿Cómo puedo mantener mis resultados después del tratamiento?
Después del tratamiento, se recomienda el uso de retenedores y mantener una buena higiene oral. Programaremos revisiones regulares para asegurar la estabilidad de los resultados.